首から腰にいたる「背骨(脊椎)」と、その中を通っている大切な「神経(脊髄)」の病気を専門に扱う外来です。

可能な限り日常生活に支障が出ない診療を心がけております。
多くの診療科とチーム医療を行うことが脳神経外科診療の常識となっています。医師のみではなく看護師、薬剤師、理学療法士、言語療法士、放射線技師、検査技師、管理栄養士と言った多くの職種との円滑なチームワークで患者さんの予後を高めます。

病状を丁寧に説明し、ご納得いただけるような治療方針で進めますので、安心してご来院ください。

診療スケジュール

診療時間
午前
8:30~11:30
午後
13:00~15:00
休診日
  • 祝日
  • 年末年始

新着情報

お知らせお知らせ一覧

休診・代診・時間変更のお知らせ

  • 休診
    • 牧医師

      午後休診

  • 休診
    • 牧医師

      午後休診

  • 休診
    • 川崎医師
  • 休診
    • 川崎医師
  • 休診
    • 牧医師

      午後休診

  • 休診
    • 牧医師

      午後休診

担当医師

時間
午前 2・5週 川崎 敏生/3週 寺田 幸恵/4週 青山 慎平 牧 貴紀 牧 貴紀 1・2・3・5週 川崎 敏生 1・4週 高山 柄哲 / 2・3・5週 牧 貴紀
午後 2・5週 川崎 敏生/3週 寺田 幸恵/4週 青山 慎平 牧 貴紀 牧 貴紀 1・2・3・5週 川崎 敏生 1・4週 高山 柄哲 / 2・5週 牧 貴紀

診療内容

こんな症状はありませんか?

以下の様な症状でお悩みの方はご相談ください。

  • 首や手(肩)にしびれ、痛みがある
  • ひどい腰痛がある
  • 座骨神経痛で歩くこともできない
  • 歩くと足がしびれてくる

※整形外科受診希望の方で上記の症状、「ひどい腰痛がある」「座骨神経痛で歩くこともできない」「歩くと足がしびれてくる」等の症状の場合は「脊椎腰椎外来」をご案内させていただくこともございます。

※頭痛にお悩みの方は、頭痛外来へお越しください。長年の経験を有する脳神経外科医・脳神経外科学会認定専門医が詳しく診察して頭痛の診断と治療を行います。頭痛に限らず、「めまい」「手足のしびれ」「言葉が出にくい」「てんかんが心配」などでお悩みの方も患者さんも広く診察させていただいております。

脳神経外科 頭痛外来
首で多い病気
  • 変形性頚椎症
  • 頚椎椎間板ヘルニア
  • 頚椎症性脊髄症
  • 頚椎後縦靭帯骨化症
首から手にかけての痛みやしびれ、手指の巧緻運動障害(細かい動作ができない)、歩行困難、膀胱直腸障害等の症状を伴う、上記のような病気があります。
腰で多い病気
  • 変形性腰椎症
  • 腰椎圧迫骨折
  • 腰椎椎間板ヘルニア
  • 腰部脊柱管狭窄症
腰痛、お尻からふくらはぎに至る痛み(坐骨神経痛)やしびれ感、間欠跛行(歩くと足に痛みやだるさが生じ、長い距離を歩けなくなる。腰を曲げて休むとおさまる)、膀胱直腸障害(尿の回数が多い)等の症状を伴います。その他、背骨の腫瘍や炎症等も扱います。
治療について
受診された際には問診、診察を行い、画像検査(レントゲン、MRI、CT)や採血検査を行い、診断を付け、治療方針を説明します。 上記のような保存治療を行っても取れない痛みや、手の使いにくさや歩行困難、排尿排便障害などが出現し症状が進行性の場合は手術加療が必要となります。

手術・検査

なるべく低侵襲で体の負担が少ない手術を行います。低侵襲な脊椎手術には、手術による傷が小さい、筋肉の損傷が少ない、出血量が少ない、時間が短い、術後の痛みが少ない、早期リハビリテーションが可能、早期退院が可能(10日程度)、早期社会復帰が可能、など多くの利点が挙げられます。

手術は毎週日曜・土曜に行っています。(術日が重なった場合は平日)

当院で行っている主な手術
  • 頚椎椎弓形成術
    適応となる疾患
    頚椎症性脊髄症、頚椎後縦靭帯骨化症など

    神経を圧迫している骨成分をチタン製のプレートを用いて挙上させることにより、狭くなった脊柱管を拡大させます。手術創もなるべく小さく当院では本手術を行っております。

    術前
    術後
    術後創部
  • 腰椎椎弓切除術
    適応となる疾患
    腰部脊柱管狭窄症

    骨を削って靭帯を切除する除圧術のみで加療可能な患者さんに受けていただく手術です。

  • 腰椎後方固定術
    適応となる疾患
    腰椎椎間板ヘルニア、変形性腰椎症、腰椎(分離)すべり症など

    骨を削って靭帯を切除する除圧術のみで神経症状の改善が困難と判断された場合は、固定術も行います。

  • ヘルニア摘出術
    適応となる疾患
    腰椎椎間板ヘルニア

    痛みやしびれ、足の筋力低下などが薬物療法やリハビリテーションなど保存的治療でも改善しない場合、ヘルニア摘出術を行います。

術後管理
当院では術後の合併症を減らす目的もあり、早期離床を促進しています。術後3-4時間ほど経って麻酔が覚めてからは、術後に溜まった血を排出する目的で留置しているドレーンと呼ばれる管をぶら下げながら、トイレまで歩行して頂くことも可能です。侵襲度少ない手術では、同日から飲水も可能です。飲水開始後は患者さんの希望に応じて、持続点滴も終了して経過を見ておりますので、術同日の夜から体につながっている管の本数がかなり少なくなります。術日の夜間もなるべく安楽に過ごしていただけます。比較的短時間で済む手術の場合には、尿道バルーンも留置せずに手術を行っています。そのため、尿道バルーンを留置した状態と比べると、尿道の不快感は有りません。
概ね術後1週間前後で退院される方が多いですが、早期退院希望の患者さんは術後数日での退院も可能です(術後2日で退院された患者さんもいらっしゃいます)。また、しっかりリハビリテーションを行ってから自宅復帰されたい患者さんには、入院継続の上、治療を受けていただいております。
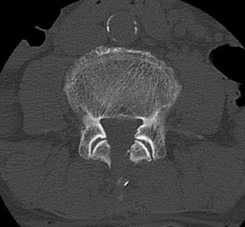
検査
当院では、術前の診断精度を高める目的で、神経根ブロック(左)やCTミエログラフィー(右)検査を行っています。検査後は、経過を確認する目的で1泊入院となりますが、翌日には退院が可能です。
検査や手術が対象となる高齢の患者さん
高齢化社会が進んでいる中、実年齢よりも若く見える、実年齢よりも日常生活年齢が若い元気な高齢者患者さんを診察する機会があります。
ある程度日常生活が自立されていたり、内科疾患があっても全身麻酔管理中のリスクが高くない高齢者患者さんの場合、当院では本人さんの希望とご家族のご理解に合わせて手術加療の適応を検討しております。80歳以上でも、術後元気に日常生活を送っていただいている患者さんもいらっしゃいます。
慢性的な痛みやしびれ、手の動かしにくさ、歩行のしにくさに困られている患者さんがいらっしゃいましたら、年齢で根治的な加療を受けられないと諦めることなく、一度当院でご相談ください。

診察室・設備

〒522-0054 滋賀県彦根市西今町421

0749-23-1211

診察スケジュール

診療時間
午前
8:30~11:30
午後
13:00~15:00
休診日
  • 祝日
  • 年末年始

お知らせ